ニュース

受付時間
9:00〜13:00
14:30〜18:30

◆休診日/日曜日・祝日

0957-54-8080

0957-54-6888

大村市池田1丁目 40-20

スマートフォンサイト

こちらのバーコードからスマートフォンサイトにアクセスできます。

ホワイトニング
審美美化

現代の美意識の向上により、お口の中に対しても、よく噛めるという機能はもちろんのこと、より美しく、よりきれいにという願望を持つ方が増えています。
また、最近の歯科材料・技術の進歩により、今まで以上に天然歯に近く、自然で美しい治療が可能になってきています。
例えば、材料の接着技術の進歩により、元々の天然歯が持っている美しさを損なわないように、健康な歯をできるだけ削らない治療が可能になりました。
当院では、機能性に優れているだけではなく、より審美的にも、美しさを追求した治療を行っています。

治療について
■オールセラミック

金属を使わないセラミックだけでできたかぶせものです。より自然な色合いと形を再現します。
長年の使用にも変色せず、健康的な白い歯の輝きで天然歯の美しさを保ちます。

・1本 80,000円(税抜)
■メタルポンド

金属の上にセラミックを焼き付けたもので、強度に優れ保険のプラスチックのかぶせものとは異なり、すり減らず、変色もありません。

・1本 70,000円(税抜)
■ハイブリッドクラウン

セラミックの硬さと樹脂の粘り強さを併せ持った素材を使用。 保険のプラスチックのかぶせものよりも、より永く白く美しい歯を保つことができます。
金属の上に重ねて作る方法と、強化繊維を入れて補強して金属を使用せずに作る方法があります。

・1本 40,000円(税抜)

※その他材料費用などについてはお問い合わせください。

治療例
■メタルポンド症例
ホワイトニング

ホワイトニングとは、歯の色を歯専用に開発された漂白薬剤で変化させ、歯を削らないで白くすることです。 もちろん、むし歯や歯周病があったり、歯に汚れがついていたりするとホワイトニングができない場合もあります。 主なホワイトニング法の中で、当院では「オフィス&ホームホワイトニング」をおすすめしています。

■オフィス&ホームホワイトニング

当院&家庭で白くする方法で、夜間寝ている時に器具を装着していただきます。約1ヶ月で白くなります。
医院の指示に従い、診療室とご自分の家で行う方法です。

1) まず、歯科医が歯と歯肉が健康な状態であるか診察します。過去につめたものを取り換えたり、むし歯の治療が必要な場合もあります。
2) 歯科医が作製した患者様用トレーにジェル材を塗布します。
3) 歯を磨き、トレーを口に入れます。
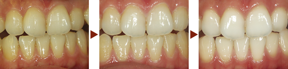
治療例
・ 症例1
・ 症例2
料金

詳しくはお気軽にお問い合わせください。