ニュース

受付時間
9:00〜13:00
14:30〜18:30

◆休診日/日曜日・祝日

0957-54-8080

0957-54-6888

大村市池田1丁目 40-20

スマートフォンサイト

こちらのバーコードからスマートフォンサイトにアクセスできます。

失ってしまった歯を再生最新のインプラント治療
インプラント

インプラント(Implant=植え付ける)とは人工歯根療法とも言われ、歯が抜けたところに人工歯根(インプラント)を 埋め込み、その上に人工の歯をかぶせ、健康な歯のように噛むことができる最新の歯科治療の方法です。インプラント治療は次のような方に特にお勧めします。

●健康な歯を削るのが嫌な方
●入れ歯が合わなくてお悩みの方
●入れ歯ではなく自然な歯並びを取り戻したい方

※傷害事件や交通事故で失った歯の回復にもインプラントをご利用いただける場合があります。

従来の治療方法とインプラント治療の比較
■歯が1〜2本抜けた場合
従来は、周りの健康な歯を削ってブリッジにしていました。
インプラント治療では、歯が抜けたところにインプラントを埋め込み、人工の歯をかぶせるので 両隣の歯を削る必要がありません。
■歯が数本抜けた場合
従来は、取り外し式の部分入れ歯を作り、バーや留め金で固定していましたが、異物感が大きく金具を かけてる歯が痛みやすいことが欠点でした。 インプラント治療は、数本のインプラントを植え、インプラント同士と連結することで、違和感はなく、 自分の歯と同様に食べたり話したりできます。
■歯が全部抜けた場合
従来は、歯茎の上に総入れ歯を入れていましたが、固定するところがないため、不安定でした。 数本のインプラントを植え、その上部に維持装置をつけて 総入れ歯をしっかり固定出来ます。
インプラント治療の流れ
模型・レントゲン・CTなどによる充分な診断を行い、インプラント治療の計画を立案します。
歯が抜けたところにインプラントを埋入した後、顎の骨にしっかりと固定されるまで、3〜6ヶ月待ちます。
インプラントによるしっかりとした土台が出来たら、人工の歯を上にかぶせます。
しっかりお手入れすることがインプラントを長持ちさせる秘訣です。
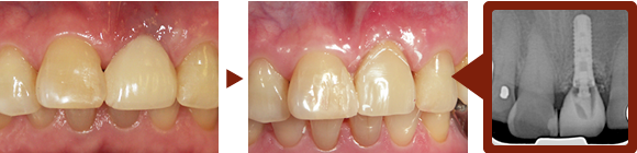
治療例
料金
※骨の状態により異なります。

詳しくはお気軽にお問い合わせください。