ニュース

受付時間
9:00〜13:00
14:30〜18:30

◆休診日/日曜日・祝日

0957-54-8080

0957-54-6888

大村市池田1丁目 40-20

スマートフォンサイト

こちらのバーコードからスマートフォンサイトにアクセスできます。

健康で快適な生活は口腔の正しいケアから
小児歯科
フッ素塗布やシーラントなど、小さいお子様のむし歯の予防処置に力を入れています。 ブラッシング指導は、必要に応じて保護者様向けの仕上げ磨きの指導も行っています。
また、正しい歯列育成のために咬合の誘導処置も行っていきます。
予防歯科・歯周病治療

いつまでも健康的で楽しい食生活を送っていただくために、口腔の健康の維持管理に努めています。 そのため定期的に来院していただき、口腔内診査およびPMTCを行う予防歯科を行っています。
予防歯科では、歯石除去・PMTC・フッ素塗布・洗口・ブラッシング指導などを行い、ご家庭でのむし歯、 歯周病の予防・管理の手助けを行っています。

◎PMTCとは…

受信者の方々がホームケア(自宅)でコントロールしにくい部分を、プロの手によって隅々まで器械的に清掃する方法です。 この定期検診(リコール)が口腔の健康の維持・増進の大部分を占めています。

また、いくら素晴らしい治療を行っても放置すると必ず問題が起こります。 良い状態を長く保つためには、必ず定期的に管理が必要です。むし歯・歯周病はもとより噛み合わせの管理が必要となります。

現在、噛み合わせの問題が増えています。くいしばり・歯ぎしり等の生活習慣からくる歯列崩壊・不定愁訴があり、生活指導・マウスピース対応処置を行っています。

歯科ドック

現在のお口状態をより詳しくCTを使用し検査・診断を行ってまいります。
これからの予防・治療の参考になります。

※CT撮影料・診断料を含む

予防歯科・歯周病治療

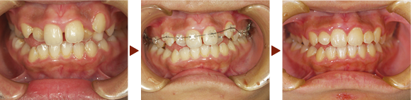
歯並びが悪ければ、咬み合わせも悪くなることが多くなります。咬み合わせが悪いと全身の健康に大きな影響を与えます。 それは、審美的なものばかりでなく、精神的にも大きな負担となります。歯ならびを治す矯正治療は、病気を治すのと同じように歯の正常な噛合を取り戻し、 健康な身体と心をつくるための歯科治療なのです。
また、歯並びがよくなるとブラッシングがしやすくなり、むし歯や歯周病の予防にもなります。 当院では、施術前の十分なカウンセリングを徹底し、安心して治療にのぞんでいたたくことを第一に考えております。

治療例
・ 症例1
・ 症例2
床矯正により歯を抜かずに矯正しています。
・ 症例3